Pacientes

Los pacientes son el centro de todo lo que hacemos. Cada sonrisa que cuidamos es una historia única, y nos sentimos honrados de ser parte de tu viaje hacia una mejor salud bucal. Nuestro compromiso es proporcionarte una atención excepcional en un ambiente acogedor y profesional.

Valoramos tu confianza y nos esforzamos cada día para superarte tus expectativas.

"La clínica es moderna y acogedora. Siempre recibo un trato amable y personalizado. Confío plenamente en el equipo para el cuidado dental de toda mi familia."

Javier Vallejo

"Tenía miedo de ir al dentista, pero aquí me hicieron sentir seguro y relajado. Ahora, no dudo en venir a mis revisiones periódicas."

Pedro GarcíaImplante dental

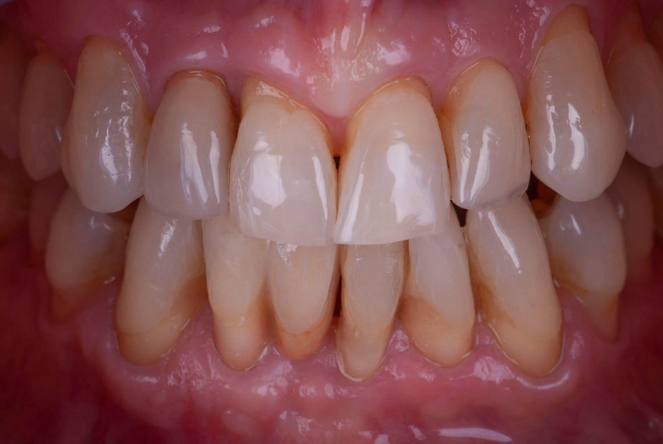
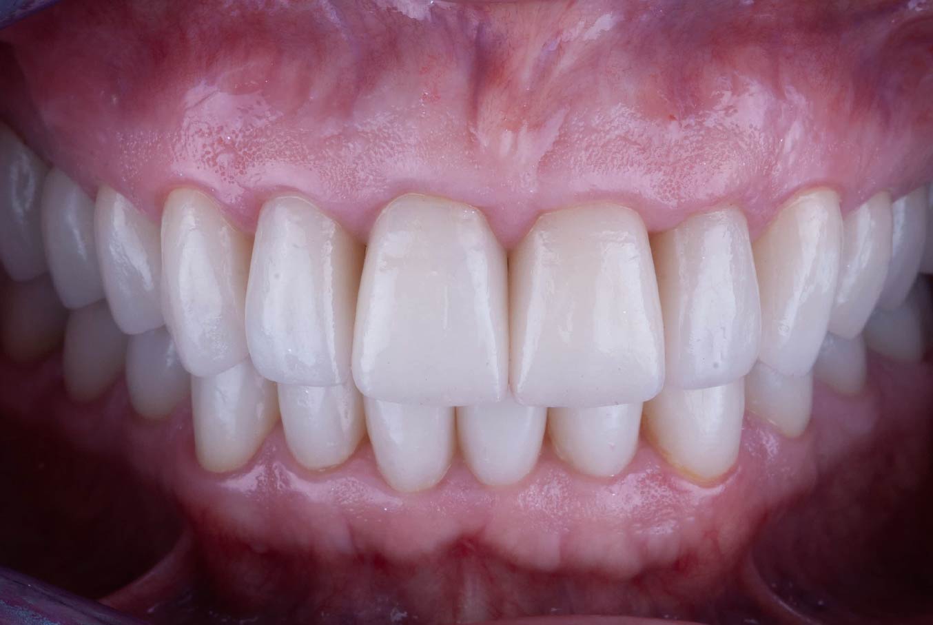
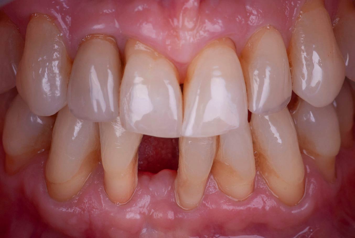
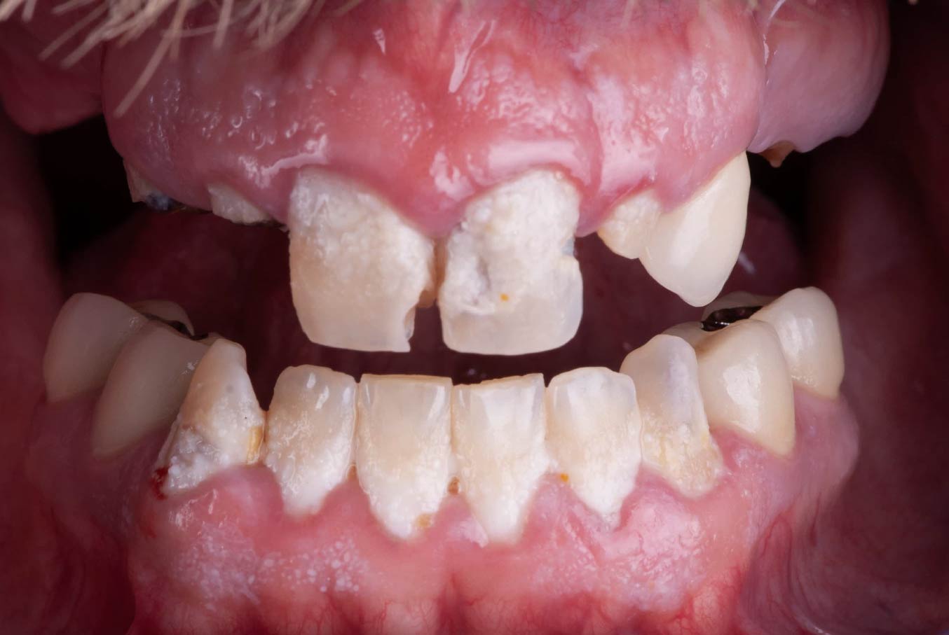
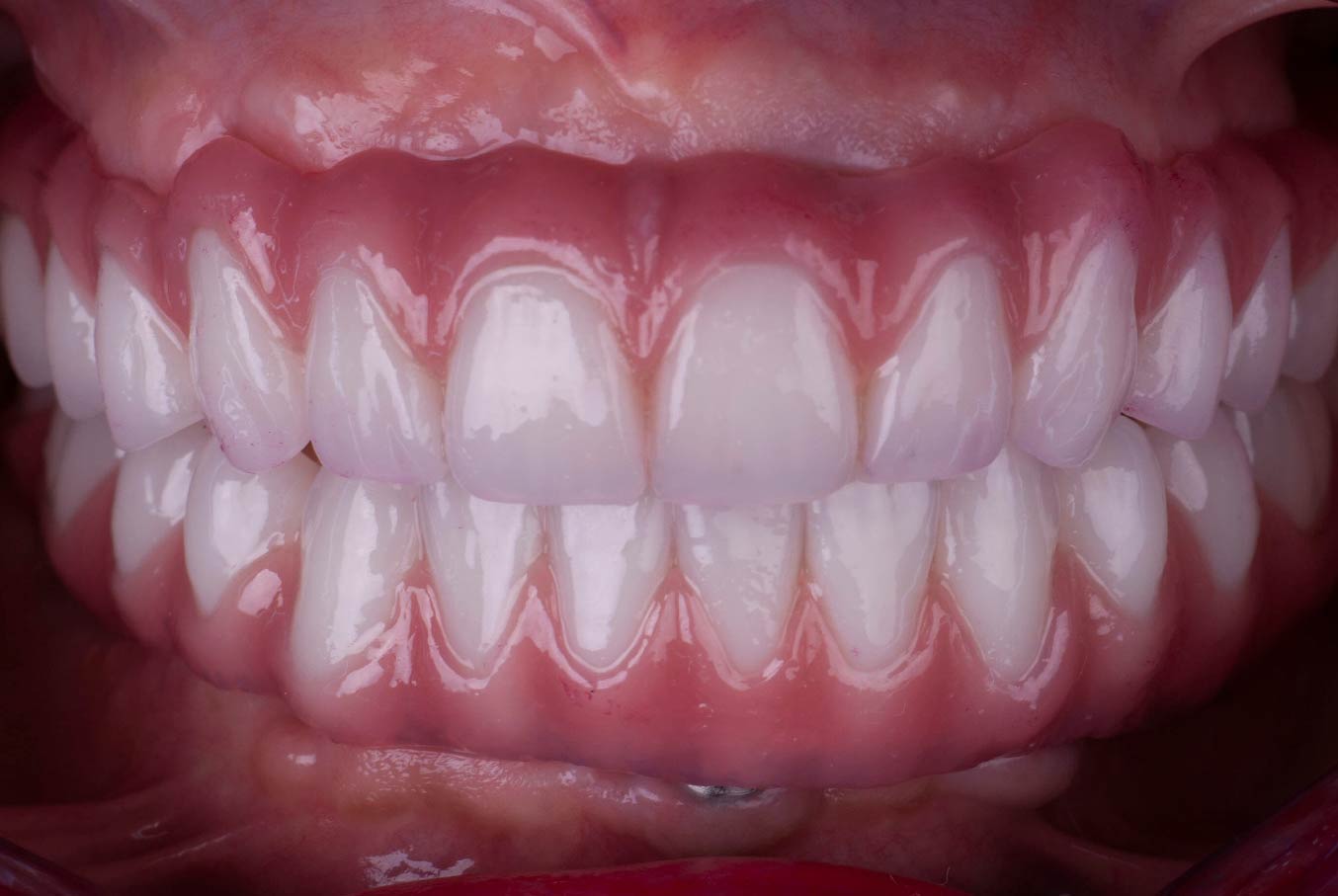
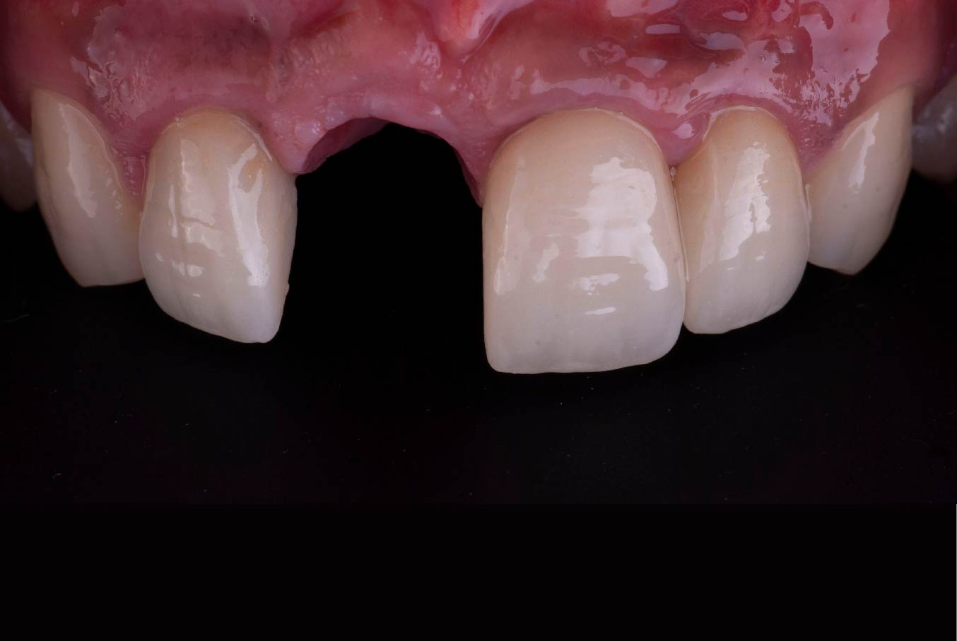
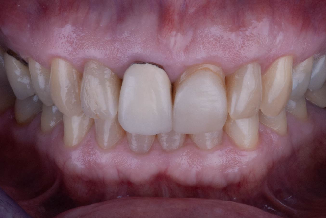
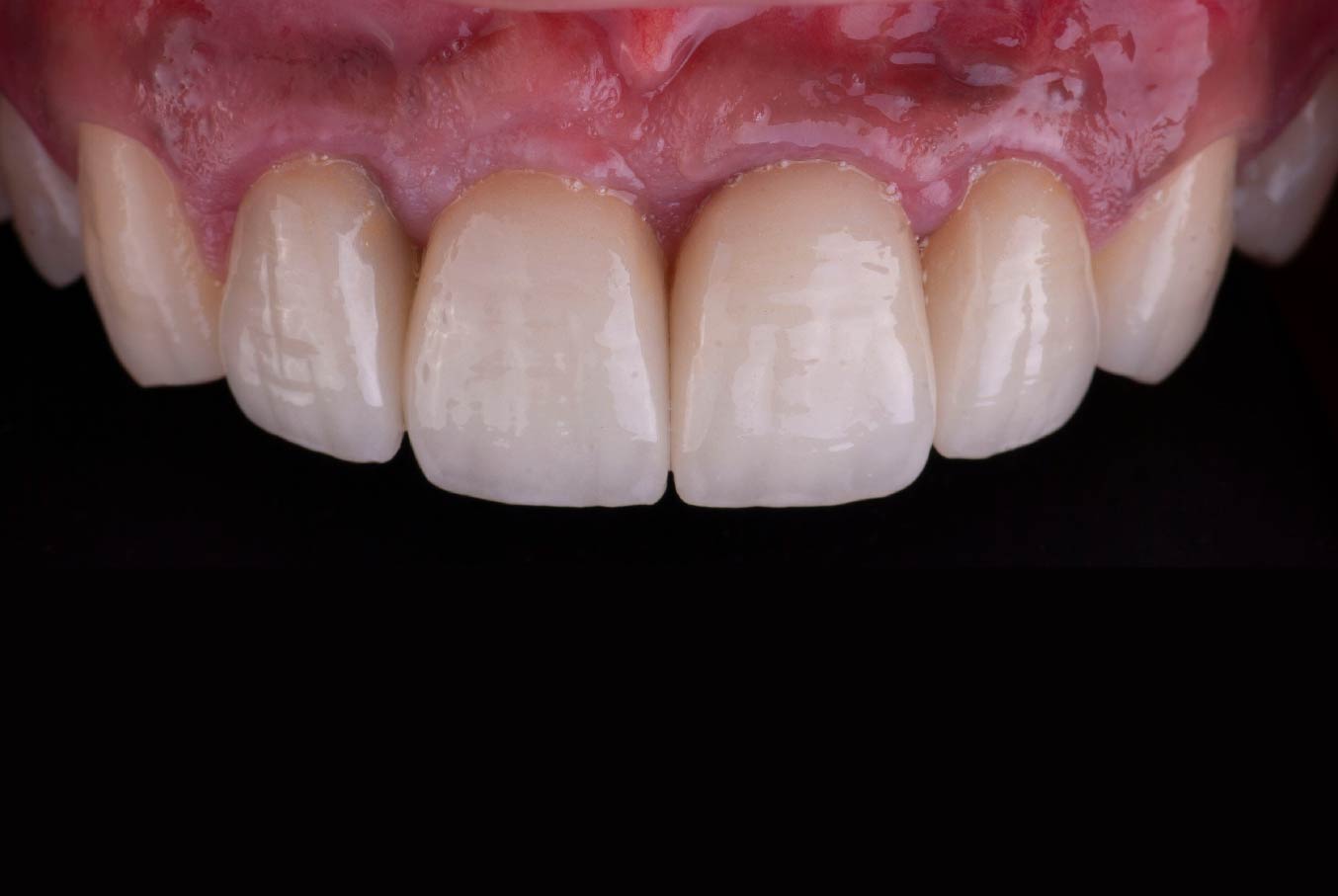
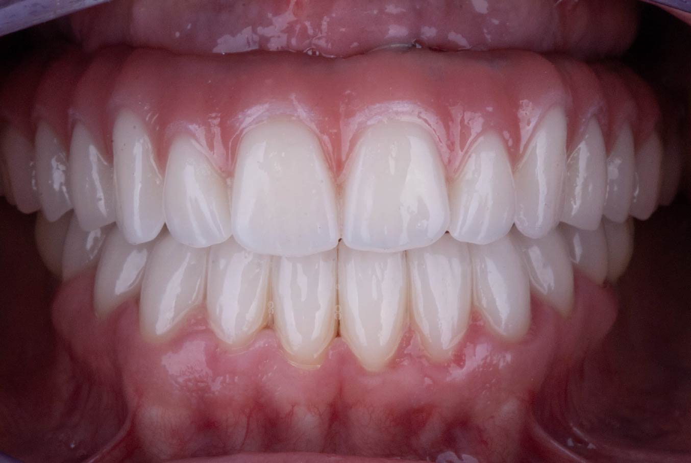
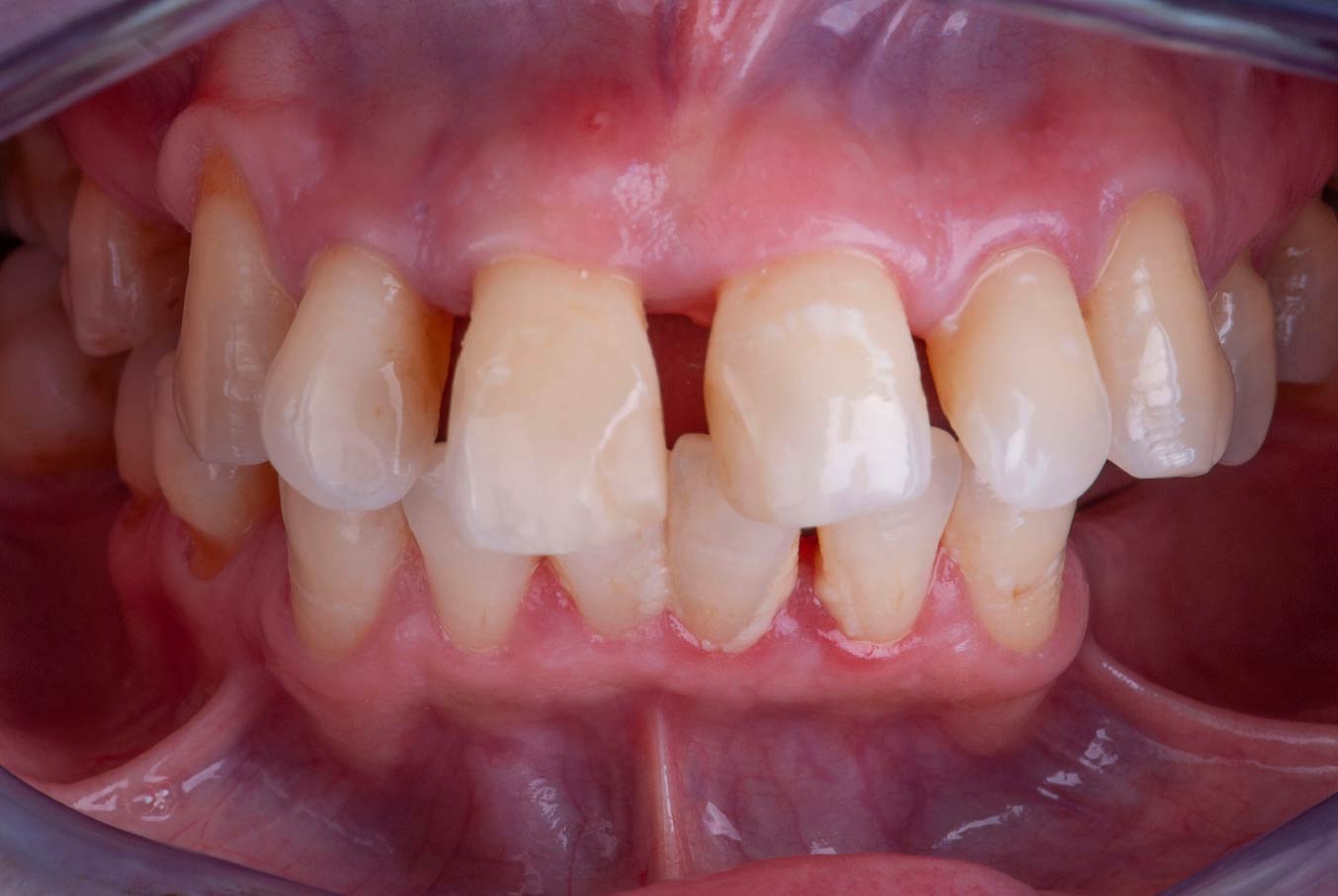
Algunos de nuestros casos de éxito

Implantes dentales en Oviedo

Programa una cita con nosotros

Ponte en contacto con nosotros para programar una consulta inicial. Nuestro equipo de expertos está aquí para ayudarte en cada paso del camino.

PEDIR CITA